Acute Respiratory Distress Syndrome (ARDS)
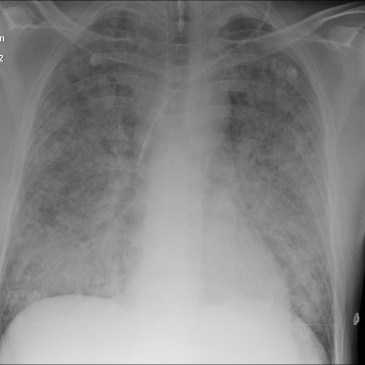
Vodcast A Case to Consider A 42 year old male presents to the Emergency Department with Progressive SOB and Myalgias. He has a fever and tachycardia at triage. His initial BP is 90/60. He is treated with broad spectrum antibiotics and 3.5L of crystalloid IV Fluid On day 2 of admission Chest X-ray shows progressive … More Acute Respiratory Distress Syndrome (ARDS)


