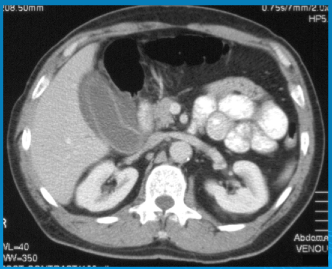
Abdominal CT Scans
HETI (The Health Education Training Institute) provides excellent free educational resources for Emergency Medicine and sponsors conferences for trainees. They have been well known for radiology teaching for several years. Here is a recent resource from the Emergency medicine HETI conference on the Abdominal CT:

