Intravenous Lipid Emulsion (ILE) Therapy – A Brief Review
Case Study (Fictitious)
- Patient – Mr John Harper
- 75 year old man living in a rural area
- John fell over on the front porch of his house – this was witnessed by his daughter and she called the emergency services and an ambulance arrived soon after
-
He was unable to get up afterwards and has an obvious deformity of his right leg
- On arrival in the Emergency Department (ED) the patient complains of leg pain and has shortening of his right leg.
- There are no other apparent injuries
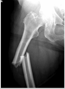
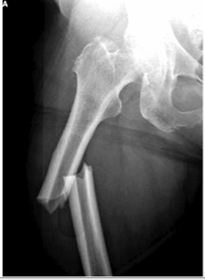
- Shortly after arrival the following x-ray is taken
- This x-ray is interpreted as a right femoral shaft fracture
- The patient is noted to have significant thigh and groin pain
- John receives Morphine and Paracetamol IV but still has persistent pain
- The local doctor places a femoral block using Marcaine® (Bupivicaine) 20mls
- In doing so they use a ‘landmark’ technique with aspiration every 5mls infiltrated
- A few moments later the patient becomes unresponsive and CPR is started
-
The patient’s rhythm is Asystole
- The medical team begins CPR using the following algorithim
What other specific therapies may be useful in these circumstances?
- John received continued CPR with 1.5mls/kg of intralipid as well as 50mls of 8.4% Sodium Bicarbonate.
- After 8 minutes of effective CPR he regains a cardiac output and begins to bite the Endotracheal tube that has been placed during resuscitation.
- The picture described above is highly suggestive of acute local anaesthetic cardiac toxicity. This is due to sodium channel blockade
- In most circumstances (assuming the maximal dose in mg per kg is no grossly exceeded acute toxicity is due to inadvertent intravenous (IV) administration
- Cardiovascular collapse from accidental local anesthetic toxicity while rare is a potential disasterous complication of regional anaesthesia.
- It is well described particularly in the anaesthetic literature and many anaethetic departments have had protocols for the management of this emergency for many years
- Sodium bicarbonate has often been described as standard therapy for sodium channel blockade toxicity from drugs such as tricyclic antidepressants but in this case Intralipid Therapy should also be considered at an early stage because of the increasing evidence of its effectiveness in this situation.
Intralipid Emulsion (ILE)
- Intravenous lipid Emulsion (ILE) or Intralipid is emerging as a first line therapy for treating the cardiotoxic effects of Local Anaesthetic toxicity and other refractory toxicological emergencies
- It was first used in medicine as artificial nutrition in the 1960s
- The use of ILE for Local Anaesthetic toxicity was first discussed in the 1990s
- Evidence has emerged for use of ILE in the form of Human Case Reports, Animal Data and a number of recent Review Articles and Case Series
What is Intralipid?
- ILE is an oil and water Micro Emulsion
- It is extracted from Soya Beans
- The pH of ILE is 8.0
How does it work?
- The Mechanism of Action of Intralipid is poorly understood but thought to be related to the following factors:
- (1) A Lipid Sink
- The ILE forms a ‘Conduit to Redistribution’
- This Pharmacokinetic mechanism is the most likely primary mechanism
- (1) A Lipid Sink
- (2) Effects on Ion channels
- Sodium Channels
- Calcium Channels
- (3) Metabolotropic
- Effects through Secondary Messengers (G-proteins)
- (4) Alkaline pH
- (5) Energy Substrate for cardiac muscle
Indications for the use of Intrapid
- The uses of intralipid are controversial and an area of debate between Toxicologists
- While there are multiple case reports of salvaging patients from refractory cardiac arrest or “near arrest” with the use of ILE , we are generally relying on animal studies and non-randomised case reports for our evidence base to support the use of Intralipid.
- The case reports and animal data show ILE to be effective in treating a variety of toxicological insults and the treatment compares favourably with other treatments
- Some toxicologists argue ILE is unlikely to be useful in any drug take by any route other than intravenous but others have advocated the use of ILE in refractory cardiac toxicity associated with any relatively lipophillic drug
- In the ED setting this means the drug should be readily available and that staff should have a general awareness of its use when administering Femoral Blocks (as described in the case above)
- In addition, in refractory cardiac toxicity due to overdose this drug should be considered
- Some of the possible indications for ILE may include:
Conclusions
ILE is an emerging toxicological therapy for use in the severe refractory sodium channel blockade toxicity assoicated with a number of drugs including local anaesthetics and psychotropic medications. Therefore, ED and anaesthetic departments should be familiar with the indications for ILE as well as where to find it quickly in an emergency at their institution.
Further Reading
Click Here or on the picture below for Grant Cave’s 2011 review
Lipid Rescue – A Blog Dedicated to the use of Intralipids











Intralipid is not only protocol, but is standard of care for Local Anesthetic Toxicity. We have L.A.T. carts in the operating room area and in our pre-op and post-op areas that are checked daily. This is truly a life-saving therapy that must be inacted quickly, along with notification of cardiothoracic surgery and possible cardio-pulmonary bypass to be instituted emergently.