Introduction
Acute stroke is a leading cause of death and accounts for a significant morbidity in survivors. Stroke is becoming more prevalent as a result of the ageing population.1 The importance of stroke is reflected by the associated disability and its place as the 3rd leading cause of death in Western countries.2 Additionally, Acute Stroke can affect patients of all ages and often occurs unexpectedly with sudden life changing consequences to both the patient as well as friends and family.2
Background
Medical Imaging has made rapid advances over the last 40 years, from early Computerised Tomography (CT) scanning in the 1970s3 to specialist diffusion weighted Magnetic Resonance Imaging (MRI) which have been used increasingly in the diagnosis of stroke in recent years.4 5 6
As a result of both advances in technology and widespread availability of new techniques, neuroimaging has become an increasing area of interest for researchers.5 7 Furthermore, the discovery of novel therapeutic interventions such as Thrombolysis with Tissue Plasminogen Activator (TPA), which are optimally used in a selective manner, has lead to an increased interest in the integration of imaging and intervention.8
Practitioners working in acute care medicine and clinicians specialising in the treatment of Stroke are increasingly expected to be able to select and interpret advanced imaging modalities.5 While training in this area has historically been considered sub-specialised, the integration with time dependent treatments such as Thrombolysis means that a general level of knowledge is pertinent. To this end, various studies have shown mixed results in the interpretation of CT brain by Emergency Physcians.7 9 10 The interpretation of advanced neuroimaging by stroke specialists also appears to be unreliable11 12 but may be improved with the use of algorithms and further training.13
The medical literature looking at the assessment and management of stroke using advanced neuroimaging has developed significantly in the last 15 years.14 15 There has been particular interest in selecting patients for immediate or delayed thrombolysis based on perfusion imaging.7
Many of the recent studies examine the concept of the “ischaemic penumbra” and use this as a guide to therapy. The Penumbra is defined as “the volume of brain tissue at the periphery of a focal, irreversibly damaged area that is threatened by recruitment into necrosis.”16
There has also been a renewed focus on imaging of patients with a diagnosis of Transient Ischaemic Attack (TIA)17, medical education in the interpretation of imaging18 and attempts to use imaging (mobile CT) in the pre-hospital setting.19
In this review we will discuss some of the commonly used imaging modalities and their role in the assessment of Acute Stroke. We will focus on the use of these advanced imaging techniques in the context of diagnosis and treatment of patients presenting with symptoms of Stroke and TIA. The relevance of recent advances will be reviewed in the context of clinical practice in Australian hospitals.
Imaging Modalities
(1) Non-Contrast CT Scanning
In the last 30 years, Plain CT imaging has become a mainstay of diagnosis of Acute Stroke.2 It has historically been used for differentiation between haemorrhagic and non-haemorrhagic stroke, but it is now being increasingly utilised for immediate diagnosis and selection of patients for Thrombolysis.5
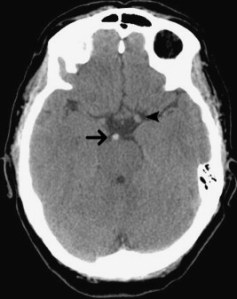
Figure 1 – A Normal CT Head (axial view at the level of the Lateral Ventricles):20
Advantages of Plain CT (Non Contrast) Imaging include:
- Rapid Access
- Speed of Acquisition of Scans5
- Emergency Department (ED) CT is available 24 hours a day in many centres21
- Evidence that its use is Cost Effective22
- A normal Plain CT Head essentially rules out Intracerebral Haemorrhage (ICH) and may show evidence of other important disease processes (e.g. Sagittal Sinus Thrombosis, Tumour or Trauma)23
- A variety of readily identifiable early signs of stroke may be present on the Non Contrast CT head assisting clinicians with early diagnosis:23
- Loss of normal differentiation between grey and white matter
- Insular ribbon sign
- Hemispheric Sulcal effacement.
- Other Important Findings in the Context of Acute Stroke include:
- Middle Cerebral Artery (MCA) Thrombus24
- Basilar Artery Thrombus25
- A variety of readily identifiable early signs of stroke may be present on the Non Contrast CT head assisting clinicians with early diagnosis:23
- With training, CT can be interpreted by relatively junior radiologists, stroke clinicians and senior ED doctors.26
Figure 2 – A Basilar Artery Thrombus shown on Plain CT Head:27
As a result of the information that can be quickly obtained from a Plain CT head, neuroimaging using CT remains the first line modality in Australia and New Zealand for patients presenting with stroke or other major neurological deficits.
(2) CT Perfusion Studies
CT Perfusion studies have been the subject of increasing interest in recent years. They have the significant advantage over equivalent MRI scans of being fast to perform and relatively widely available.5
Essentially, CT Perfusion studies aim to identify areas of ischaemic brain tissue that may survive the acute phase of hypoperfusion if an adequate flow of cerebral blood is reestablished. As we discussed previously on page 4, this area of salvageable brain is known as the “ischaemic penumbra” and is readily identified by this CT technique.16
CT perfusion is performed by giving a bolus of radio-opaque contrast medium followed by the acquisition of multiple serial CT images which identify dynamic cerebral blood flow by looking at change over time.28 This imaging technique measures Cerebral Blood Volume (CBV) and the Mean Transit Time (MTT). By examining these two parameters radiologists can estimate Cerebral Blood Flow (CBF) using a standard algorithim.29
In general terms the ischaemic brain has a reduction in venous and arterial blood flow. This can be mapped radiologically by a CT perfusion study.5 The ‘Penumbra’ is identified as the area on the scan that has reduced Blood Flow (CBF) but a normal (or increased) Blood Volume (CBV). As a result, many perfusion studies show established infarcts and no area of brain that is salvageable, while other scans may show a ‘penumbra’ even after the established therapeutic time window of 4.5 hours.5
Recent landmark studies in the New England Journal of Medicine have suggested that endovascular intervention improved the rate of radiological reperfusion but not overall patient outcomes.30 31 Future directions in stroke care may use CT perfusion to select patients for specific invasive endovascular interventions.5
Figure 3 – CT Perfusion Study showing a Left Parietal Lobe Infarct:32
A recent Australian study by Campbell and colleagues suggested that CT perfusion studies increase the diagnostic accuracy during the initial acute care phase of stroke.33 This study, published in early 2013, suggested that CT perfusion:
- Was safe when used selectively (no reported cases of Acute Kidney Injury).
- Lead to an increased diagnostic yield compared to plain CT (80% v. 50%).
- The majority of scans were normal, which lead to the withholding of TPA.
- Was associated with improvements in technical adequacy over time.
- Took around 12 minutes to obtain images.
Having discussed the benefits of CT perfusion imaging, there are some significant caveats to its use which need to be considered. The use of CT perfusion imaging requires a higher level of expertise and resources compared with plain CT. For example, normally patients are selected for perfusion studies in ‘real time’ based on an initial Non Contrast CT head taken immediately prior to the enhanced perfusion scan. Additionally, acquiring adequate images requires a high level of skill on the part of the CT radiographer.33
The other major issue is that there is a significant risk of subsequent Acute Kidney Injury (AKI) as a result of administration of intravenous (IV) contrast medium. This risk is higher in patients with chronic renal failure, older age and diabetes mellitus which unfortunately are all more common in stroke patients than the general population. As a result, patients who are diabetic or have known renal disease should usually not undergo this type of imaging.23
Finally, in my own experience, concerns over patient medical risks may lead to delays in obtaining CTs with IV contrast. These delays are a disadvantage compared with non-contrast CT head, but could be minimised by rapid point of care blood testing of creatinine, streamlined triage and focused senior review in the ED.
(3) Magnetic Resonance Imaging (MRI)
The use of MRI is somewhat limited by lack of widespread availability outside of tertiary care centres and private hospital settings. However, MRI is widely used in Australia for follow up imaging of patients with TIA and minor strokes as well as selection of treatments in some specialist centres.
There are four widely used MRI techniques used in Acute Stroke patients outlined in Figure 4 (below). These include Standard MRI, Perfusion MRI, MRI Diffusion Weighted Imaging and MRI angiography:4 6
Figure 4 – MRI Scans used for Acute Stroke:5
Conventional MRI Brain studies may include T1 weighted (fat appears bright and CSF appears dark), T2 weighted (CSF appears bright) and Fluid attenuated inversion recovery (FLAIR) sequences.34 Conventional MRI images provide a reliable way of detecting vasogenic oedema in the subacute phase of stroke, so this type of MRI is most useful 24 hours to several days after an acute event.5 In undifferentiated patients FLAIR sequences are useful for detecting occult haemorrhage as they suppress signal from CSF and, therefore, show up subarachnoid blood easily. Overall, MRI is slower than CT and provides little advantage in the first 24 hours.23
MRI Diffusion Weighted Imaging (DWI) can be obtained faster than conventional MRI, although like all MRI scans DWI has the disadvantage compared with CT of patient confinement (risk of claustrophobia) and less detail (in terms of thinness of slices).5 34 The DWI technique works on the principle that ischaemic cells have a different ability to handle water homeostasis compared with uninjured cells. DWI MRI can detect areas of acute ischaemia using a specific system based on the ‘apparent diffusion coefficient’ (ADC) of water.23 The associated subtle changes seen in Acute Stroke usually need to be interpreted by a senior radiologist which may be a disadvantage especially in remote locations and out of hours. Having said this, telemedicine using internet broadband may make advanced imaging more accessible in the future in Australia.35
In clinical practice DWI MRI increases diagnostic yield when compared with Plain CT (from 50% to >90%).5 This increased yield is illustrated in Figure 5 (below). This technique could be used as an alternative in patients who cannot have a CT perfusion study due to contrast allergy or chronic kidney disease. Additionally, a 2013 review by Oosteema et al suggested that DWI MRI may provide the ability to risk stratify TIA patients and hence discharge patients low risk patients from the Emergency Department.36 Finally, although the detection rates of infarction on CT and MRI are similar, the diagnostic yield of MRI in terms of identifying a clinically appropriate or clinically relevant lesion, is much higher. In other words, the ability to distinguish between acute and chronic infarction on MRI is important for the treating stroke team as it allows optimum management of the current problem.17
Figure 5
DWI (Label B) shows new Right MCA Territory Infarction not seen on CT (Label A):37
MRI Angiography is often used by specialist neurosurgeons for identifying surgical lesions such as aneurysms, but it may also have some utility in Acute Stroke as it can identify rarer pathologies associated with stroke such as Arterial Venous Malformations (AVM), carotid artery stenosis and major arterial dissections.5 34
MRI Perfusion Weighted Imaging (PWI) provides an alternative to CT perfusion for identifying an Iscahemic Penumbra. MRI perfusion studies, like CT perfusion, generate accurate mapping of the ischaemic brain and when combined with DWI MRI identifies viable brain around an iscahemic core that may be salvageable with timely intervention.5
(4) Ultrasound Imaging
Like MRI and CT, Ultrasound (USS) technology has rapidly advanced in the last 20 years. In terms of the assessment of the acute phase of stroke, ultrasound has a number of applications.5
Firstly, Transcranial Doppler Ultrasound was first described in the early 1980s and allows for non-invasive imaging of the Circle of Willis through the temporal bone.23 34 Impressive images can be obtained and the technique can be performed quickly at the bedside even in unstable patients.5 However, this type of USS is technically challenging and does not provide adequate images in around a third of patients.5
Ultrasound enhanced reperfusion therapy is a new approach to facilitate the administration of thrombolysis.39 This technique was shown to improve reperfusion rates (37.2% compared with 17.2%) in a meta-analysis of several small studies.39
The most widespread application of USS in stroke care is in the first 24-72 hours where the use of Echocardiography and Carotid Doppler are considered standard in the Australian Stroke Guidelines (2010).38 These guidelines recommend that USS is used early to identify significant carotid artery stenosis that may be amenable to surgical carotid endarterectomy or an embolic source such as a mural thrombus.
Finally, in addition to the traditional applications discussed above, USS can be used for detection of Deep Vein Thrombosis (common after stroke) and bedside bladder scanning which can detect urinary retention in stroke patients.38
(5) Other Imaging Techniques
The majority of other imaging techniques for stroke are either restricted to specialist interventional centres, experimental or predominantly used in research. Limitations on alternative methods of imaging may be due to high costs, inadequate staff training or the length of time required to acquire the images.23
Examples of other techniques include Single photon emission computed tomography (SPECT), Positron emission tomography (PET) and catheter angiography which has been supplanted in recent years by advanced in CT and MRI angiography.5 23
Conclusions and Future Directions
The future of stroke care in Australia is promising given the rapid advances in imaging technology in the last 20 years. While thrombolysis and stroke unit care have revolutionised the management of Acute Stroke40, integrating these novel treatments with selective investigations is an area of research and quality improvement that could be advanced in future studies.
There are pros and cons to each of the modalities that we have discussed and the choice is often based on existing equipment, local resources, experience of those interpreting the investigations as well as individual choice of specialist stroke clinicians. Figure 6 (below) outlines an example of an integrated imaging pathway.40
Clinical pathways like these are a helpful way to streamline the quality of care as well as ensure the maximum number of patients have access to timely intervention.39 41
Figure 6 – An Example of an Integrated Imaging Pathway:42
In conclusion, while there are many options for imaging in Acute Stroke, an essential part of improving outcome is judicious selection of appropriate tests. Furthermore, managing limited resources in a cost effective manner and applying the best evidence available from research to the individual patient at the bedside is important.
References
(1) Warlow C et al. Stroke. Lancet. (2003); 11;362: 1211-24.
(2) Scottish Intercollegiate Guidelines Network (SIGN). Guideline 108 Management of Stroke and TIA. Accessed on 18/5/13 at http://www.sign.ac.uk/pdf/sign108.pdf
(3) Beckmann EC. CT scanning the early days. Br J Radiol. (2006); 79(937): 5-8.
(4) Baird AE et al. Magnetic resonance imaging of acute stroke. J Cereb Blood Flow Metab. (1998); 18(6): 583-609.
(5) Birenbaum D et al, Imaging in Acute Stroke. West J Emerg Med. (2011); 12(1): 67-76.
(6) Fisher M et al. New magnetic resonance techniques for acute ischemic stroke. JAMA. (1995); 20;274(11): 908-11.
(7) Mucci B et al. Cranial computed tomography in trauma: the accuracy of interpretation by staff in the emergency department. Emerg Med J. (2005); 22(8): 538-540.
(8) Kim D et al. Neuroimaging advances and the transformation of acute stroke care. Semin Neurol. (2005); 25(4): 345-61.
(9) Boyle A et al. Can middle grade and consultant emergency physicians accurately interpret computed tomography scans performed for head trauma? Cross-sectional study. Emerg Med J. (2009); 26(8): 583-5.
(10) Khoo NC et al Out of hours non-contrast head CT scan interpretation by senior emergency department medical staff. Emerg Med Australas. (2007); 19(2): 122-8.
(11) Grotta JC et al. Agreement and variability in the interpretation of early CT changes in stroke patients qualifying for intravenous rtPA therapy. Stroke. (1999); 30(8): 1528-33.
(12) Wardlaw JM et al. Can stroke physicians and neuroradiologists identify signs of early cerebral infarction on CT?. J Neurol Neurosurg Psychiatry. (1999); 67(5): 651
(13) Puetz V et al. Reliability of brain CT evaluation by stroke neurologists in telemedicine. Neurology. (2013); 22;80(4): 332-8.
(14) Kidwell CS et al. Advances in neuroimaging of acute stroke. Curr Atheroscler Rep. (2000); 2: 126-135
(15) Jauch EC et al. Guidelines for the early management of patients with acute ischemic stroke: a guideline for healthcare professionals from the American Heart Association/American Stroke Association. Stroke. (2013); 44(3): 870.
Accessed Online on 18/5/2013 – http://stroke.ahajournals.org/content/44/3/870.long
(16) Touzani et al. The ischaemic penumbra. Curr Opin Neurol. (2001); 14(1): 83-8.
(17) Sorensen AG. Transient Ischemic Attack Definition, Diagnosis, and Risk Stratification. Neuroimaging Clin N Am. (2011); 21(2): 303-313.
(18) Gallagher FA. Comparing the accuracy of initial head CT reporting by radiologists, radiology trainees, neuroradiographers and emergency doctors. Br J Radiol. (2011); 84(1007): 1040-1045
(19) Walter S et al. Diagnosis and treatment of patients with stroke in a mobile stroke unit versus in hospital: a randomised controlled trial. (2012); 11: 397-404.
(20) Sun GP. Normal CT Head.
Accessed Online on 19/5/2013 – http://learningneuroradiology.blogspot.com.au
(21) Ginde AA et al. Availability and quality of computed tomography and magnetic resonance imaging equipment in U.S. emergency departments. Acad Emerg Med. (2008); 15(8): 780-3.
(22) Wardlaw JM et al. Immediate computed tomography scanning of acute stroke is cost-effective and improves quality of life. Stroke. (2004); 35(11): 2477.
(23) Muir KW. Imaging of acute stroke and transient ischaemic attack. J Neurol Neurosurg Psychiatry (2005); 76: 19-28
(24) Tomsick TA. Hyperdense middle cerebral artery sign on CT: efficacy in detecting middle cerebral artery thrombosis. AJNR Am J Neuroradiol. (1990); 11(3): 473-7.
(25) Ehsan T. Hyperdense basilar artery. An early computed tomography sign of thrombosis. J Neuroimaging. (1994); 4(4): 200-5.
(26) Al-Reesi A. Comparison of CT head interpretation between emergency physicians and neuroradiologists. Eur J Emerg Med. (2010); 17(5): 280-2.
(27) Downer J et al. Basilar artery Thrombosis – Figure 1. Accessed Online on 19/5/13 – www.sciencedirect.com/science/article/pii/S0009926008003681
(28) Srinivasan A et al. State of the art imaging of acute stroke. Radiographics. (2006); 26: 75-95
(29) Konstas A et al. Theoretic basis and technical implementations of CT perfusion in acute ischemic stroke, part 1: theoretic basis. AJNR Am J Neuroradiol. (2009); 30(4): 662-8
(30) Broderick JP. Endovascular therapy after intravenous t-PA versus t-PA alone for stroke. N Engl J Med. (2013); 7;368(10): 893-903.
(31) Ciccone A. Endovascular treatment for acute ischemic stroke. N Engl J Med. (2013); 7;368(10): 904-13
(32) CT Perfusion Imaging. Accessed Online on 19/5/13: http://radiologymri.blogspot.com.au/2010/03/media-infarct-ct-perfusion.html
(33) Campbell, BCV et al. CT perfusion improves diagnostic accuracy and confidence in acute ischaemic stroke. J Neurol Neurosurg Psychiatry (2013); 84(6): 613-8
(34) Wiebers DO et al. Handbook of Stroke. Page 109-113. 2nd Edition (2006). Lippincott Williams and Wilkins Publishing Group (USA).
(35) Howarth B. Telehealth Trial Declared a Success. (SMH July 24th 2012). Accessed Online on 20/5/13 – http://www.smh.com.au/it-pro/government-it/telehealth-trial-declared-a-success-20120724-22lu6.html
(36) Oostema JA et al. Does diffusion-weighted imaging predict short-term risk of stroke in emergency department patients with transient ischemic attack? Ann Emerg Med. (2013); 61(1): 62-71
(37) Yew K et al. Acute Stroke Diagnosis (Figure 3). Am Fam Physician (2009); 1;80(1):33-40. Accessed Online on 20/5/13 – www.aafp.org/afp/2009/0701/p33.html
(38) Stroke FN. Clinical Guidelines for Stroke Management. Melbourne, Australia (2010). Accessed Online on 20/5/13: http://strokefoundation.com.au/site/media/clinical_guidelines_stroke_managment_2010_interactive.pdf
(39) Tsivgoulis G et al. Safety and efficacy of ultrasound-enhanced thrombolysis: a comprehensive review and meta-analysis of randomized and nonrandomized studies. Stroke. 2010 Feb;41(2): 280-7
(40) Wardlaw JM et al. Thrombolysis for acute ischaemic stroke. Cochrane Database Syst Rev. 2009 Oct 7;(4). Accessed Online 20/5/2013: www.ncbi.nlm.nih.gov/pubmed/19821269
(41) NHS Improvement (Quality Assurance). Assessed Online on 21/5/13: www.improvement.nhs.uk/stroke/NationalProjects/AcuteStrokeCare/tabid/78/Default.aspx
(42) Shang T et al. Application of acute stroke imaging: selecting patients for revascularization therapy. Neurology. (2012);25: 79(S86-94)






Interesting 2015 Online Controversy following a New York Times article on stroke:
1) Original Article ‘Stroke of Fate” – http://www.nytimes.com/2015/05/03/opinion/sunday/maureen-dowd-stroke-of-fate.html?_r=0
2) EM replies
– http://www.huffingtonpost.com/david-h-newman-md/quiet-fortitude-in-the-er_b_7209372.html?ir=Australia
– http://drwhitecoat.com/louis-caplan-maureen-dowd-and-lack-of-professional-ethics/comment-page-1/#comment-96366
3) Dr Caplan’s Apology – http://bit.ly/1WJcNDx